Sieht Man Entzündung Im Mrt

Sieht Man Entzündung Im Mrt. MR Neurographie & MRT Nerven ARISTRA Kann man auf MRT auch Entzündungen sehen? Ob Knochen, Muskeln, Sehnen, Bänder oder Knorpel - mit einer MRT-Untersuchung können Schädigungen, Veränderungen, Entzündungen und grobe Verkalkungen am gesamten Bewegungsapparat exakt beurteilt werden. Kann man eine Entzündung im MRT sehen? Ob Knochen, Muskeln, Sehnen, Bänder oder Knorpel - mit einer MRT-Untersuchung können Schädigungen, Veränderungen, Entzündungen und grobe Verkalkungen am gesamten Bewegungsapparat exakt beurteilt werden.

MRTUntersuchungen in der Radiologie ALTA Klinik
MRTUntersuchungen in der Radiologie ALTA Klinik from www.alta-klinik.de

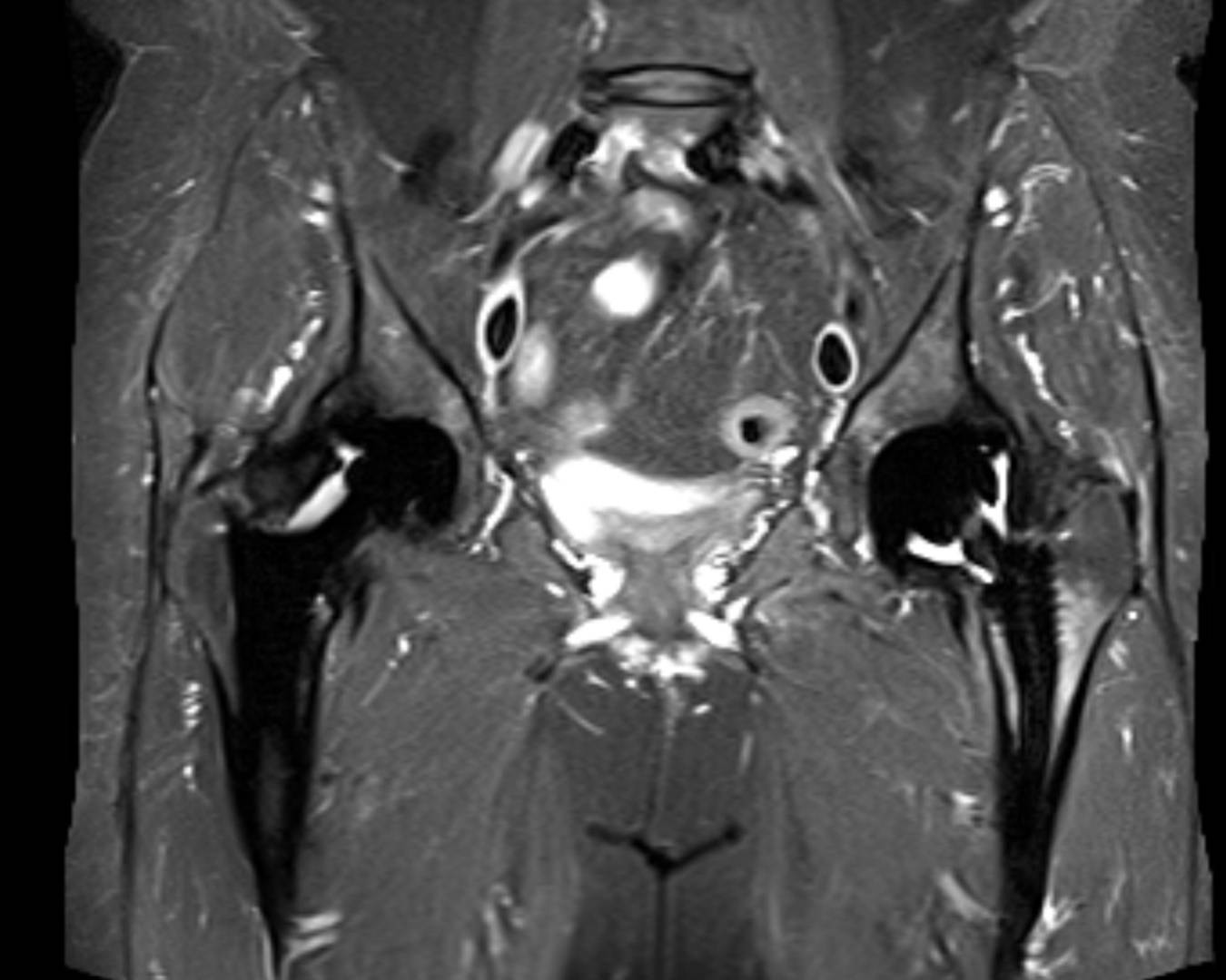
Kann man eine Entzündung im MRT sehen? Ob Knochen, Muskeln, Sehnen, Bänder oder Knorpel - mit einer MRT-Untersuchung können Schädigungen, Veränderungen, Entzündungen und grobe Verkalkungen am gesamten Bewegungsapparat exakt beurteilt werden. Besonders hervorzuheben ist jedoch die Rolle des MRT im Kontext entzündlich-rheumatischer Erkrankungen wie der Rheumatoiden Arthritis, dem Morbus Bechterew, der Psoriasis Arthritis oder der reaktiven Arthritis

MRTUntersuchungen in der Radiologie ALTA Klinik

Besonders hervorzuheben ist jedoch die Rolle des MRT im Kontext entzündlich-rheumatischer Erkrankungen wie der Rheumatoiden Arthritis, dem Morbus Bechterew, der Psoriasis Arthritis oder der reaktiven Arthritis Bei diesen Autoimmunerkrankungen sind häufig Gelenke und Weichteile wie etwa Sehnenansätze entzündet. Die weißen Flecken, die man auf MRT-Bildern sieht, stellen Flüssigkeit dar

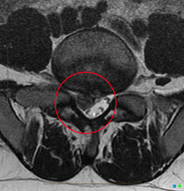
Mrt Berlin Mitte Wissenswertes Zu Der Mrt. Während das MRT je nach Körperregion 20-60 Minuten benötigt (detaillierte Informationen in der Übersicht zur Kernspintomographie), ist das CT schon nach 1-5 Minuten. Im Falle einer MRT vom Kopf können die weißen Punkte unter anderem als Liquor (Hirnwasser), Narbe oder Entzündung gedeutet werden.

MRTUntersuchungen in der Radiologie ALTA Klinik. Bei diesen Autoimmunerkrankungen sind häufig Gelenke und Weichteile wie etwa Sehnenansätze entzündet. Kann man auf MRT auch Entzündungen sehen? Ob Knochen, Muskeln, Sehnen, Bänder oder Knorpel - mit einer MRT-Untersuchung können Schädigungen, Veränderungen, Entzündungen und grobe Verkalkungen am gesamten Bewegungsapparat exakt beurteilt werden.